(BVĐHNCT) – Nhồi máu cơ tim cấp là do tắc nghẽn động mạch vành cấp tính đe dọa đến tính mạng người bệnh. Nếu vùng nhồi máu lớn có biến chứng suy tim, phù phổi cấp thì tình trạng này càng nguy hiểm hơn nữa.
Khi tắc nghẽn 1 động mạch vành đã là điều nguy hiểm nhưng khi tổn thương nhiều nhánh động mạch vành, đặc biệt nếu có tổn thương ngay gốc động mạch vành thì khả năng bệnh nhân tử vong rất cao. Những trường hợp có nguy cơ cao nên khi điều trị vô cùng khó khăn, cần có những bác sĩ nhiều năm kinh nghiệm, phương pháp can thiệp cấp cứu hiện đại kịp thời mới mong cứu sống được người bệnh.
Vào lúc 23h00 ngày 28/8/2023, ông T.V.P (sinh năm 1955, ngụ tại Cần Thơ) đột ngột khởi phát cơn đau ngực có cảm giác như bóp nghẹt, nghỉ ngơi có giảm ít. Tuy nhiên đến 5 giờ sáng ngày 29/8/2023, bệnh nhân lên cơn đau ngực liên tục nên ngay lặp tức người nhà đã đưa ông đưa đến khoa Cấp cứu – HSTC – CĐ, Bệnh viện Đại học Nam Cần Thơ để theo dõi và điều trị.

Qúa trình thực hiện can thiệp mạch vành tại Bệnh viện Đại học Nam Cần Thơ (Ảnh DNC Studio)
Tại đây, bệnh nhân đau ngực, khó thở, khò khè, phải ngồi thở, da đỡm vã mồ hôi. Bệnh nhân được tiến hành cấp cứu, thở oxy mask, lập đường truyền dịch, đo điện tim, siêu âm tim, có dấu hiệu nhồi máu cơ tim cấp vùng trước. Kết quả chẩn đoán: nhồi máu cơ tim cấp có ST chênh lên vùng trước, có triệu chứng suy tim nặng (EF 30%), phù phổi cấp. Bệnh nhận được xử trí bằng thuốc kháng đông, thuốc kháng tiểu cầu, thuốc lợi tiểu, truyền tĩnh mạch thuốc giãn mạch. Khi bệnh nhân tạm ổn tiến hành can thiệp động mạch vành cấp cứu.

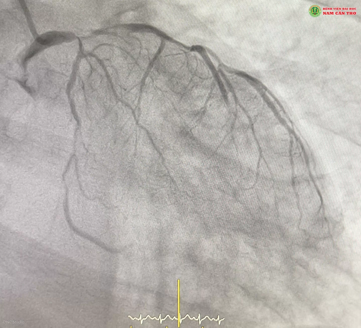
Kết quả chụp DSA trước khi can thiệp của bệnh nhân T.V.P (Ảnh DNC Studio)
Bệnh nhân được các bác sĩ tại Khoa Tim mạch và Can thiệp tim mạch đưa đến phòng can thiệp DSA để chụp và can thiệp động mạch vành cấp cứu. Kết quả động mạch vành hẹp nặng ngay gốc LM và hẹp nặng cả 3 nhánh động mạch vành. Trong đó 2 nhánh lớn bên trái (LAD, LCX hẹp dài lan tỏa và chậm dòng). Nguy cơ tim có thể ngưng đập tại chỗ.

BS. CKII. Trần Chí Dũng trực tiếp giải thích và nêu rõ một số nguy cơ mà bệnh nhân có thể mắc phải (Ảnh DNC Studio)
Sau khi giải thích cho gia đình hiểu rõ về tình trạng của bệnh nhân. Ekip đã tiến hành can thiệp và sau 90 phút can thiệp, ekip đã cứu sống bệnh nhân trước tình huống nguy hiểm. Sau can thiệp bệnh nhân hết đau ngực, dễ thở hơn, không cần thở oxy mask, sinh hiệu ổn. Tiếp tục theo dõi điều trị tại Khoa Tim mạch và Can thiệp tim mạch, Bệnh viện Đại học Nam Cần Thơ.

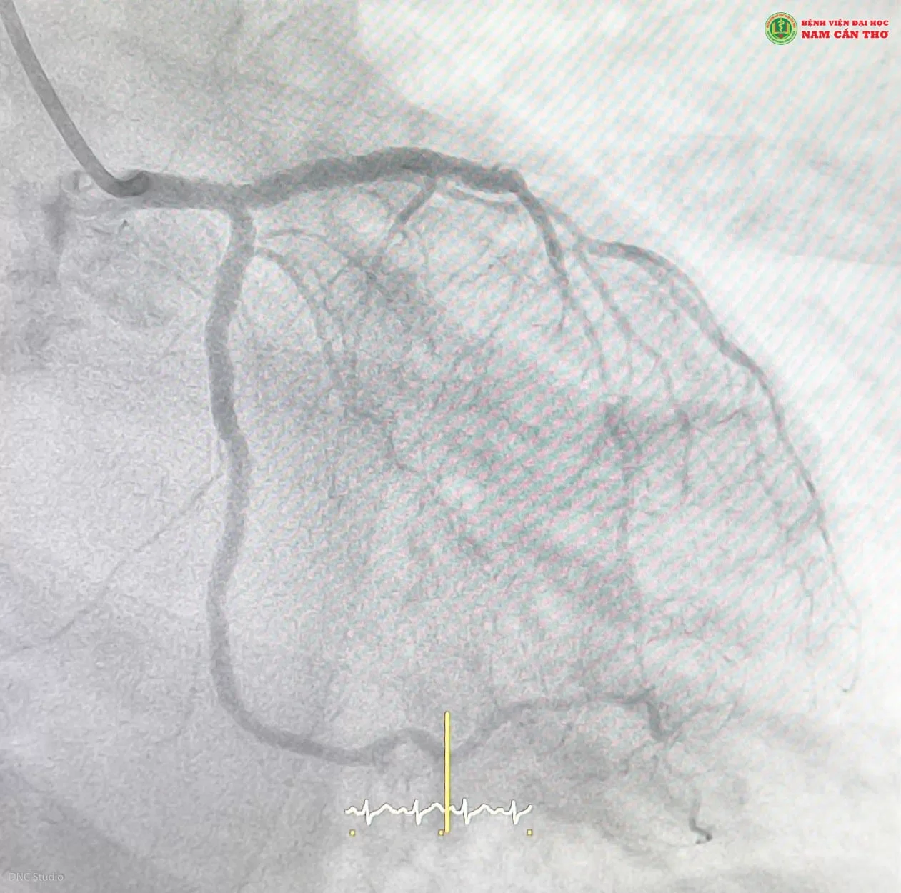
Kết quả tái thông mạch vành của bệnh nhân T.V.P (Ảnh DNC Studio)
BS. CKII. Trần Chí Dũng – Phó Trưởng khoa Thường trực Khoa Tim mạch và Can thiệp tim mạch chia sẻ: Đối với case bệnh này được đánh giá là rất nguy kịch, có thể ngưng tim bất cứ lúc nào, rất may bệnh nhân được đưa đến bệnh viện kịp thời và được sự đồng ý của người nhà “còn nước còn tát” đội ngũ y bác sĩ Can thiệp tim mạch của bệnh viện đã nhanh chóng tiến hành can thiệp mạch cho bệnh nhân. Thời gian vàng can thiệp mạch là rất quan trọng và rất may mắn bệnh nhân đã qua khỏi cơn nguy kịch”
Bài viết được tham vấn chuyên môn cùng BS. CKII. Trần Chí Dũng – Phó Trưởng khoa thường trực Khoa Tim mạch và Can thiệp tim mạch, Bệnh viện Đại học Nam Cần Thơ.
Lê Sang